Zirconia versus disilicato de litio: el futuro de la odontología totalmente cerámica
May 25, 2023
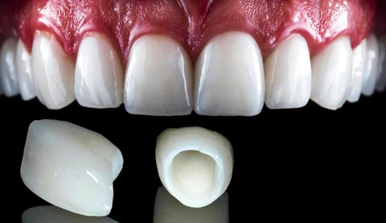
La zirconia se ha utilizado ampliamente para varias restauraciones de cerámica sin metal. Sin embargo, el disilicato de litio posee una mejor estética, lo que representa la tendencia de desarrollo futuro de los materiales totalmente cerámicos.

1. El disilicato de litio puede lograr un espesor mínimo de 0.2 mm que imita mejor a los dientes naturales. La zirconia requiere un espesor mínimo de 0.5 mm para una resistencia adecuada, lo que compromete más la preparación y la estética del diente.
2. Las restauraciones de disilicato de litio pueden tener un 30-50 por ciento menos de pérdida de volumen de dientes naturales en comparación con la zirconia. Esto significa menos extracción de dientes naturales sanos y más respetuoso con el medio ambiente.
3. La variedad de materiales y aplicaciones de disilicato de litio está aumentando rápidamente, brindando más opciones y personalización tanto para los dentistas como para los pacientes.
4. La tecnología CAD/CAM simplifica significativamente el flujo de trabajo de las restauraciones de disilicato de litio, acelerando su adopción en las prácticas clínicas.
5. El disilicato de litio exhibe una translucidez superior para resultados estéticos invisibles. Su fluorescencia natural también mejora la vitalidad de las restauraciones.
Si bien la zirconia sigue siendo un material fiable, resistente y versátil para todas las restauraciones de cerámica, el disilicato de litio se está convirtiendo en una opción competitiva y está ganando una cuota de mercado cada vez mayor, especialmente en la región anterior, debido a su estética y comodidad incomparables. La innovación tecnológica ampliará aún más la indicación del disilicato de litio para incluir coronas posteriores, inlays, onlays y carillas.
El futuro de la odontología de cerámica sin metal está lleno de promesas y sorpresas. Con una gama más amplia de materiales y tecnologías digitales, las restauraciones de cerámica sin metal pueden imitar el diente natural en términos de fuerza y belleza. Los dentistas ahora cuentan con herramientas más avanzadas para brindarles a los pacientes soluciones más rápidas, predecibles y duraderas para sus sonrisas. El disilicato de litio y la zirconia están liderando el camino hacia el siguiente nivel de éxito.






